【李静课题组】在抗肿瘤免疫研究领域取得新进展

作者:蔡超时间:2025-09-15

 免疫疗法为肿瘤治疗带来变革性改变,是目前最前沿的肿瘤治疗手段之一。自然杀伤细胞(natural killer cells, NK cells)处于先天免疫系统,具有广泛、迅速的肿瘤识别和清除效应,近年来,基于NK细胞的检查点抑制剂、细胞因子药物和细胞过继疗法等不断取得临床进展。然而,肿瘤微环境损伤NK细胞代谢,抑制其抗肿瘤功能并导致耗竭,严重限制其免疫治疗的效果,因此,增强NK细胞功能相关新靶标的发现是提高其免疫疗法的重要基础和应用研究。

 李静课题组利用肺癌患者单细胞测序大数据分析,发现代谢相关分子真核细胞延伸因子2激酶(eukaryotic elongation factor-2 kinase , eEF-2K,基因名Human EEF2K; Mu Eef2k)在肿瘤浸润NK细胞中表达上调,且可能与NK细胞耗竭有关。eEF-2K是细胞蛋白翻译的负调控因子,参与细胞生长、自噬和营养适应性调节,其在NK细胞免疫反应中的作用尚未被报道。

1.  NSCLC患者肿瘤内部的耗竭NK细胞高表达EEF2K

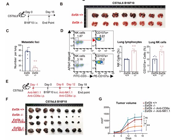
 课题组利用eEF-2K转基因荷瘤动物模型、细胞株以及临床样本,证明eEF-2K抑制了NK细胞的增殖、终末分化、活化和肿瘤杀伤功能。机制研究发现,肿瘤微环境中的主要免疫抑制因子TGF-β诱导eEF-2K表达,进而抑制Nrf2介导的抗氧化反应并损伤NK细胞的线粒体健康,降低了NK细胞的代谢功能,从而抑制了NK细胞的抗肿瘤作用。体内治疗实验表明,靶向抑制eEF-2K能够显著增强NK细胞对抗多种肿瘤的生长和抗转移作用。特别是,与对照细胞相比,NK92-sgEEF2K细胞在肿瘤组织内的衰竭减少,存留时间延长,从而显著提高其抗肿瘤作用。本研究表明 eEF2K是影响NK细胞功能命运的重要参与者。本研究为提高基于NK细胞抗肿瘤免疫治疗提供了新的治疗靶标,也为新型的抗肿瘤CAR-NK的构建提供了新思路。

2. 抑制E2F2K 促进了NK细胞体内抗肿瘤作用

3. NK92-sgEEF2K细胞过继疗法有效地抑制了异种移植物肿瘤的生长并延长小鼠生存期

4. eEF-2K调节NK细胞功能的途径机制示意图

  研究结果发表于国际著名的肿瘤免疫专业期刊《Cancer immunology research》,中科院I区。本文的通讯作者为中国海洋大学九游老哥J9俱乐部官网李静教授,博士研究生刘晓宇为第一作者。澳大利亚医学科学院院士、著名的EEF2K研究专家Christopher G. Proud,以及王学敏研究员提供了指导。青医附院肿瘤科主任医师姜鹏,中国海洋大学九游老哥J9俱乐部官网戚欣、张晓敏、刘欣和马秀伟为本文的共同作者。

  文章信息:Cancer Immunol Res2025 Sep 2;13(9):1485-1501.  doi: 10.1158/2326-6066.CIR-24-1001.


关闭